교정 15

40대 치아교정, 꼭 필요한 경우와 주의사항

40대에 치아교정을 시작해도 늦지 않았을까요? 많은 분들이 이런 고민을 하며 망설입니다. 하지만 현대 치의학 기술은 나이에 상관없이 교정치료의 필요성과 효과를 입증하고 있습니다. 특히 40대는 심미적인 이유뿐만 아니라 기능적인 문제 해결을 위해서도 치아교정이 매우 중요한 시기입니다. 이 글에서는 40대에 치아교정이 필요한 경우 및 추천 대상, 그리고 시작 전 반드시 알아야 할 주의사항까지 상세하게 알려드립니다. 40대에도 치아교정이 필요한 이유 1. 기능적 문제 해결을 위한 치료 40대 이후가 되면 치아의 배열 불균형이나 교합 이상이 단순 미용을 넘어서 건강과 직결됩니다. 이 나이대에서는 다음과 같은 문제들이 자주 나타납니다. - 부정교합으로 인한 턱관절 통증- 치아 사이 틈 증가(치열 붕괴)- 심한 치..

교정 2025.08.03

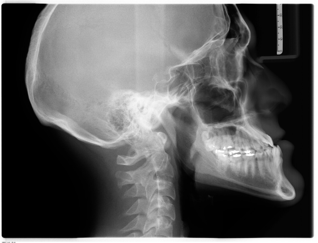
치아교정이 얼굴형에 미치는 영향

치아교정이 얼굴형까지 바꾼다고?치아교정에 대한 관심이 높아지면서, 단순히 치열을 고르게 만드는 수준을 넘어 “교정을 하면 얼굴형도 달라진다”, 혹은 **“턱선이 정리되고 인상이 부드러워진다”**는 말들을 쉽게 들을 수 있습니다. 실제로 교정 전후 사진을 비교해 보면 눈에 띄게 인상이 부드러워지거나, 턱 돌출이 완화된 듯한 인상을 받는 경우가 많습니다. 그렇다면 정말 교정 치료만으로 얼굴형이 바뀌는 것일까요? 결론부터 말하자면, 치아교정이 얼굴의 형태에 일정 수준의 영향을 미치는 것은 사실입니다. 다만 그 변화의 정도와 방향은 환자의 얼굴 골격 구조, 치아 배열 상태, 교정 방식, 발치 여부, 성장기 여부 등 다양한 요소에 따라 달라지며, 단순히 “교정=얼굴형 변화”로 단정 짓는 것은 지나치게 일반화된 접..

교정 2025.07.08

교정 기간 단축 가능한 방법은 있을까?

평균 교정 기간은 어느 정도일까?치아교정은 많은 사람들이 외모 개선과 구강 건강을 위해 고려하는 치료이지만, 막상 결정을 망설이게 되는 가장 큰 요인 중 하나가 바로 **‘치료 기간’**입니다. 일반적으로 교정 치료는 1년 반에서 2년 정도가 소요되며, 경우에 따라 3년 이상 걸리는 경우도 있습니다. 이러한 긴 치료 기간은 일상생활의 불편함은 물론이고, 직장, 학교, 결혼, 해외 유학 등 인생의 중요한 시기와 겹칠 경우 심리적 부담으로 작용할 수 있습니다. 때문에 많은 사람들이 “교정 기간을 좀 더 단축할 수는 없을까?”라는 질문을 하게 됩니다. 실제로 최근에는 다양한 교정 장치와 신기술의 발달, 치료 계획의 디지털화, 환자의 협조도 향상 등을 통해 기존보다 치료 속도를 앞당길 수 있는 방법들이 등장하고..

교정 2025.07.08

교정 후 치아가 다시 벌어지는 이유는?

교정이 끝났는데 왜 치아가 다시 벌어질까?치아교정 치료를 마치고 나면 대부분의 사람들은 오랜 시간 기다려온 가지런한 치열을 보며 뿌듯함과 만족감을 느낍니다. 하지만 시간이 지나며 일부 환자들은 "치아 사이가 다시 벌어진 것 같다", "앞니 사이에 틈이 생겼다", "치열이 예전만 못하다"는 불만을 호소하곤 합니다. 실제로 교정 치료 후 수개월~수년 내에 치아가 재배열되거나 틈이 생기는 '재발 현상'은 꽤 흔하게 발생하는 문제입니다. 특히 상악 전치부(위 앞니) 사이에 틈이 다시 생기거나, 하악 전치부(아래 앞니) 치열이 흐트러지는 경우가 대표적입니다. 이러한 변화는 단순히 치료가 잘못된 것이 아니라, 치아와 잇몸, 뼈 조직이 변화에 적응하는 과정에서 충분한 유지관리가 동반되지 않거나, 구조적 원인이 있을 ..

교정 2025.07.07

치아교정 중 잇몸이 내려가는 이유와 예방법

교정 중 잇몸이 내려가는 현상, 단순한 변화가 아니다치아교정을 받는 많은 이들이 치료 도중 혹은 치료 후에 경험하는 불편 중 하나가 바로 잇몸이 내려가는 증상, 즉 ‘치은퇴축(gingival recession)’ 현상입니다. 처음엔 눈에 띄지 않지만, 어느 순간 치아 뿌리가 더 많이 보이거나, 치아 사이가 들쭉날쭉해졌다는 느낌이 들면서 불안감을 느끼게 됩니다. 이 현상은 단순히 미관상의 문제로 끝나지 않으며, 잇몸이 퇴축되면 치근(치아 뿌리)이 노출되면서 시린 증상, 치아 동요, 심할 경우 치아 탈락까지도 초래할 수 있는 위험 요소로 작용합니다. 특히 치아가 이동하면서 기존의 치조골(치아를 감싸는 뼈)과 잇몸이 제대로 적응하지 못하면, 잇몸의 높이와 두께가 점차 얇아지며 점진적으로 하강하게 됩니다. 문제..

교정 2025.07.07

건강보험 적용 가능한 교정 치료는?

대부분은 비급여? 교정 치료와 건강보험의 현실치아교정은 외모 개선 목적뿐 아니라 저작 기능 개선, 턱관절 건강, 발음 개선 등 여러 의학적 이점을 동반하는 치료임에도 불구하고, 일반적으로는 건강보험의 적용을 받지 않는 ‘비급여 진료’로 분류됩니다. 이는 우리나라 건강보험 체계에서 치과 교정 치료를 대부분 ‘미용 목적’으로 간주하기 때문입니다. 실제로 대부분의 성인 교정, 심미교정, 투명교정, 설측교정 등은 건강보험이 적용되지 않으며, 전액 본인 부담으로 치료를 받아야 합니다. 이로 인해 많은 사람들이 교정 치료에 대해 “비싸다”, “사치다”는 인식을 갖기도 합니다. 그러나 교정 치료의 본질은 단순한 미용 시술이 아니라, 치열 부정, 부정교합, 턱뼈 이상 등 치아와 안모 기능 전반을 개선하는 의학적 개입이..

교정 2025.07.07

교정 치과 선택 시 체크해야 할 5가지 포인트

교정 전문의 여부: 시작은 ‘전문성’ 검증부터치아교정은 단순한 치열 정돈을 넘어, 턱관절, 얼굴 비대칭, 교합 균형 등 다양한 요소를 통합적으로 고려하는 복합 진료입니다. 따라서 교정치과를 선택할 때 가장 먼저 확인해야 할 것은 담당 의료진이 교정 전문의 자격을 갖추었는가입니다. 국내에는 치과의사라면 누구든 교정 진료를 할 수 있지만, 대한치과교정학회에서 인정하는 교정 전문의는 별도의 수련과정을 거쳐 자격 시험에 합격한 이들만 해당됩니다. 단순히 ‘○○년 경력’이나 ‘○○대 출신’ 같은 이력보다, 객관적으로 검증된 교정 전문의 자격이 있는지가 더욱 중요합니다. 교정은 수개월에서 수년에 걸친 긴 치료 과정이므로, 처음 설계부터 정밀하지 않다면 부작용이나 재교정 가능성이 커질 수 있습니다. 또한 교정은 미용..

교정 2025.07.06

치아교정 비용, 왜 병원마다 차이가 날까?

치아교정 비용, 단순히 '비싸다'고만 생각하면 오산치아교정 치료는 단기간에 끝나는 시술이 아니라, 수개월에서 수년까지 이어지는 장기적이고 복합적인 치료 과정입니다. 그만큼 치료 계획 수립, 장치 선택, 진단 장비, 정기 내원, 유지장치 관리 등 다양한 요소가 포함되기 때문에 진료 항목 자체가 단순 비교가 어렵습니다. 그럼에도 불구하고 실제로 많은 사람들은 “A치과는 350만 원인데, B치과는 700만 원이더라”는 식으로 가격을 1차 기준으로 생각합니다. 물론 환자 입장에서 비용은 중요한 요소지만, 교정 치료의 결과는 단순히 ‘얼마 주고 했다’보다 ‘얼마나 기능적이고 안정적으로 치료되었는가’가 더 핵심입니다. 그렇다면 도대체 왜 병원마다 같은 교정 치료인데도 비용 차이가 큰 것일까요? 이 질문에 대한 답을..

교정 2025.07.06

교정 중 양치질, 구강관리 꿀팁 7가지

교정 중 구강 위생, 왜 더 철저해야 할까?치아교정 치료 중 구강 위생 관리는 일반적인 상황보다 훨씬 더 중요합니다. 교정 장치(브라켓, 와이어 등)는 치아 표면과 잇몸 사이에 복잡한 구조를 형성하기 때문에 음식물 찌꺼기와 치태(플라그)가 쉽게 끼고 잘 제거되지 않습니다. 이 상태가 지속되면 충치뿐만 아니라 치은염, 치주염, 심지어 탈회(법랑질이 약해지면서 하얗게 변하는 현상)까지 발생할 수 있습니다. 특히 탈회는 교정이 끝난 뒤에도 복구가 어렵기 때문에, 치아 배열은 고르게 되었지만 겉면이 얼룩덜룩해지는 안타까운 결과를 초래할 수 있습니다. 또한 입 안에 상처가 나기 쉬운 교정 중에는 염증성 질환이 일어나면 회복이 느리고 통증이 더 심해질 수 있어, 구강 위생을 제대로 관리하지 않으면 치료 기간 전체가..

교정 2025.07.06

치아교정 중 통증 줄이는 방법

치아교정 통증의 원인부터 이해하자치아교정을 시작하면 누구나 한 번쯤 “생각보다 아프다”는 말을 듣거나 직접 겪게 됩니다. 이는 결코 이상한 일이 아니며, 교정 장치로 인해 치아가 움직이면서 생기는 자연스러운 생리적 반응입니다. 교정 치료는 일정한 압력을 이용해 치아를 이동시키는 과정이므로, 뼈 속의 치근막(치아를 둘러싼 조직)과 잇몸뼈가 압력에 반응해 재형성되며 발생하는 염증성 반응이 통증의 주된 원인이 됩니다. 특히 교정 장치를 처음 장착하거나, 와이어를 교체한 직후 2~3일은 통증이 가장 심할 수 있으며, 주로 무언가를 씹을 때 찌릿하거나 뻐근한 느낌, 또는 전체적으로 치아가 당겨지는 듯한 묵직한 통증을 호소하게 됩니다. 또 브라켓이나 철사가 입안의 연조직(볼 안쪽, 입술, 혀 등)을 자극해 점막 궤..

교정 2025.07.05